What did Caring 4 Smiles do for Bronwyn?
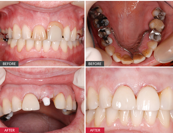
We presented a plan to reduce the large space with veneers and place an implant in the front aesthetic region, to enhance the smile.
The adjacent teeth were modified with porcelain veneers to create an optical illusion of a smaller space for the future front tooth.
A Zirconia implant was surgically placed and allowed to heal. Later, a crown was placed over the implant. The end result was that the unsightly & loose partial denture was thrown away.
An implant can be made of titanium or zirconia (metal free). As some patients have metal allergies it is best to use metal free implants. Zirconia implants can be used in specific circumstances and positions in the mouth.

