Invisalign in Auckland
Thinking About Gaining Confidence With Invisalign?
Book a Free Invisalign Dentist Consultation in Auckland. Call Now!
With advanced 3D imaging equipment, custom-made Invisalign braces/aligners are created in accordance with your oral situation. Your aligners exert mild pressure in desired areas. You wear each set of aligners for about 2 weeks, removing them only to eat, drink, brush, and floss. As you replace each aligner with the next in the series, your teeth will move, little by little, week by week, until they have straightened to the final position. The cost of Invisalign braces depends on which treatment you require, and there are lite and full treatments available.
Here’s What’s Included In Your Free Auckland Invisalign Consult:
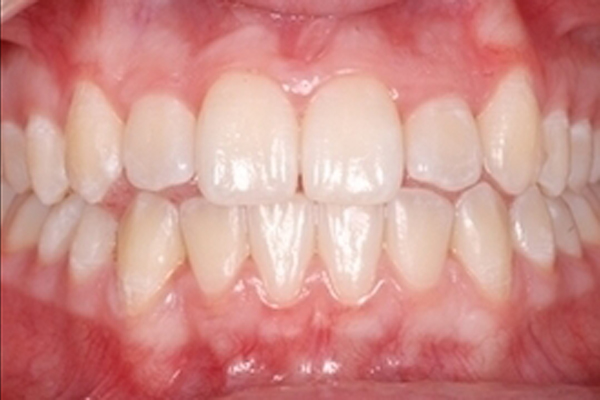
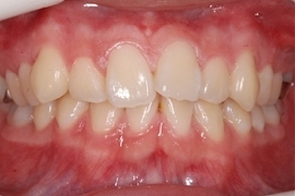
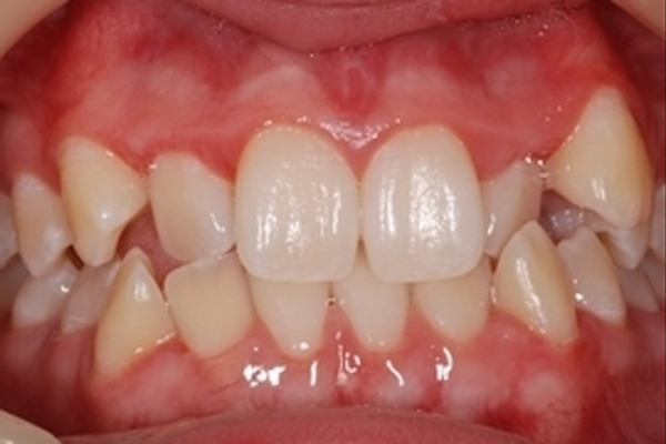
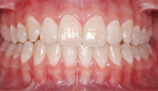
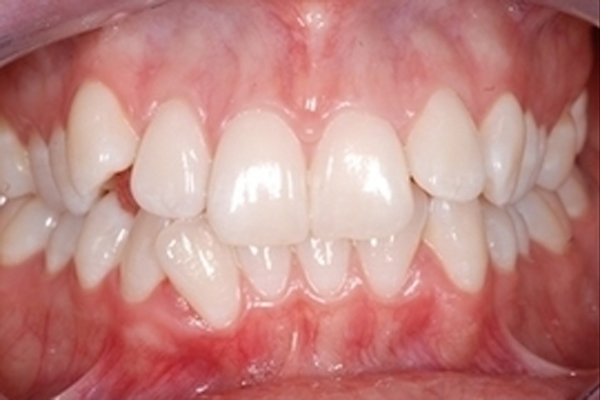
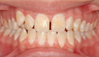
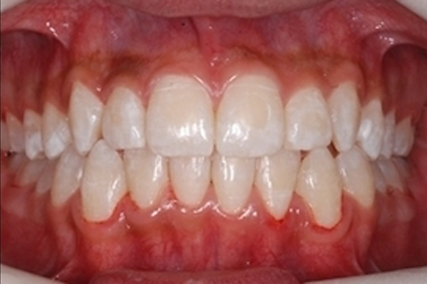
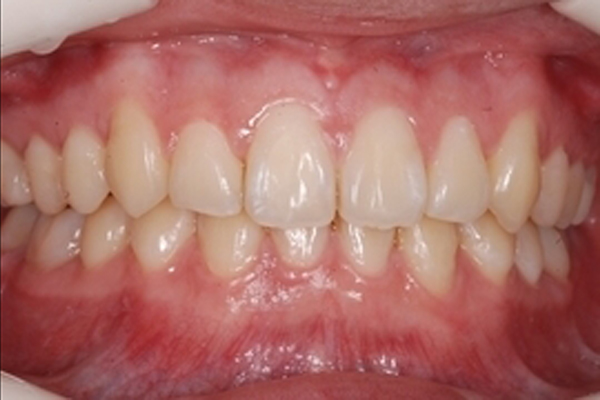
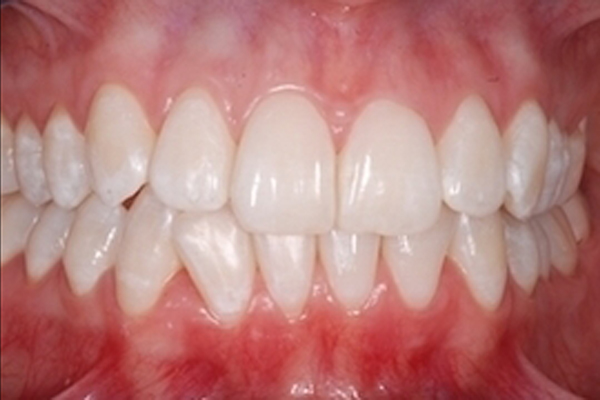
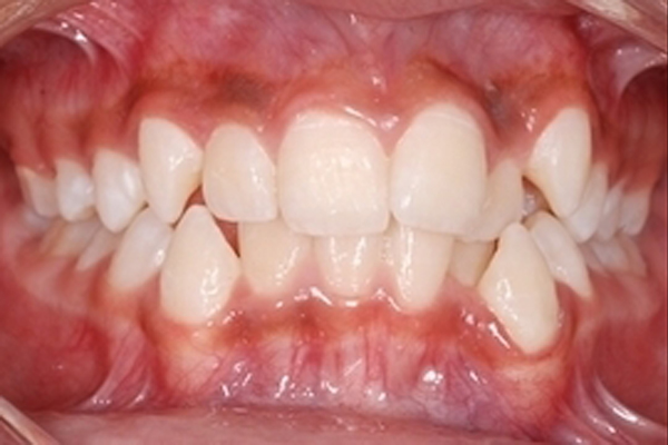
*Before and After Actual Patient Results
Book your free Invisalign consultation in Auckland today. Call 09 631 5416 or click here.

“I would highly recommend Caring 4 Smiles to anyone searching for a dentist who is current with modern dental procedures and treats every patient on an individual level.”
– Meghan
Why Invisalign?
Book your free Invisalign consultation in Auckland today. Call 09 631 5416 or click here.
Book your free Invisalign consultation in Auckland today. Call 09 631 5416 or click here.
Why Choose Caring 4 Smiles Dental Group for Invisalign?



Bring Your Questions To:
Epsom, Auckland 1023, NZ
Meet Dr. Loy Correa, BDS, MDS
Principle Dentist at Caring 4 Smiles Dental Group
Dr. Loy Correa is a certified Invisalign provider in Auckland. He completed his Masters of Dental Surgery in 1981 and has been practising dentistry around the world ever since.
For almost 16 years, Dr. Loy was a dentist to the film stars in Bollywood before moving to New Zealand and opening his dental practice in Epsom.
Dr. Loy is an executive member of NZ Academy of Cosmetic Dentistry and Auckland Dental Association, where he helps mentor the next generation of dentists.
He is particularly passionate about Invisalign, Cosmetic Dentistry, and Preventive Care in Auckland.

Bring Your Questions To:
Epsom, Auckland 1023, NZ
Meet Dr. Kelvin Tay, BDS
Dentist at Caring 4 Smiles Dental Group
Dr. Kelvin Tay is a certified Invisalign provider in Auckland. Dr. Kelvin grew up in Wellington and graduated with a Bachelor of Dental Surgery from the University of Otago in 2007.
He worked as a general dentist in Wellington before moving to Auckland and joining the team here at Caring 4 Smiles.
Dr. Kelvin has also volunteered his services in Cambodia and guest lectured at the International University in Phnom Penh.
Book your free Invisalign consultation in Auckland today. Call 09 631 5416 or click here.
Before and After Invisalign
Actual Patient Results
Plain English Terms & Conditions
The ‘retail’ value of an Invisalign consultation at Caring 4 Smiles Dental Group in Auckland is usually $160, but you’ll get your Invisalign consult completely free!
We’re covering the cost of these consultations out of our own pocket. As such, our free consultations are limited to 12 patients per month.
There’s no pressure or obligation to proceed with Invisalign treatment. If you need to cancel your appointment for any reason, please call our office ahead of time so the dentist can treat other patients during your scheduled time.
We’re also offering free whitening to patients who choose to proceed with Invisalign treatment. This normally involves an investment of $400. Please note that this is only available to patients who choose to invest in Invisalign at Caring 4 Smiles Dental Group and is not part of the free initial consultation.
Finally, the promoted starting price of $96 per week is calculated based on an Invisalign ‘Express’ treatment. It is based on a 12-month interest-free payment plan. The total investment is $5,000.
This should not be seen as a specific quote for your Invisalign treatment, as prices vary from $5,000 up to $9,000, depending on the complexity of your case. We’ll share a specific quote, and various payment options with you at your free consultation.
We’re looking forward to helping you!
If you have any further questions about Invisalign or would like to apply for your free consultation by phone, please call our office on (09) 631 5416.

