What did Caring 4 Smiles do for Gemma?
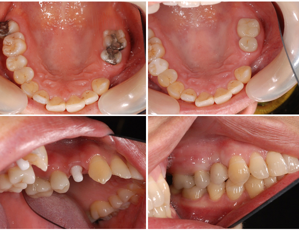
Gemma had several old amalgam fillings and crumbling teeth. She was also concerned about the tooth she had lost a while ago. Due to the “space” she would not smile as much as she wanted.
In the proper planning of Gemma’s treatment, we focused on the several other teeth that needed re-building. After they were completed, we presented a plan to place an implant to replace the missing tooth. Gemma chose to have a Zirconia implant and crown to enhance her smile.
- The adjacent teeth were first re-built.
- A Zirconia implant was surgically placed and allowed to heal. Later, a crown was placed over the implant.
- The end result was beautiful and she loved her Smile.
An implant can be made of titanium or zirconia (metal free). As some patients have metal allergies we recommend metal free implants. Zirconia implants can be used in specific circumstances and positions in the mouth.

