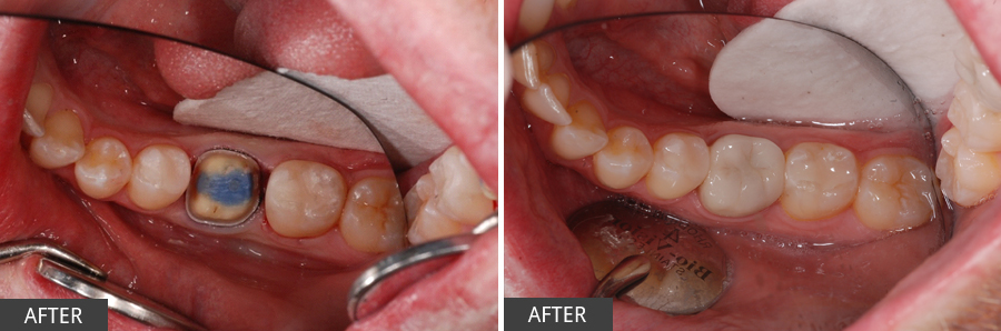
Inspect old amalgams regularly. Old amalgams break down and result in food entrapment. In this case, Thomas had constant food traps on either side of the first molar resulting in a painful dental abscess in the 1st molar.
Leaking amalgams trap food
The 1st molar needed Root Canal Treatment & a Crown
The adjacent teeth were restored with ‘white’ composite fillings before the crown was prepared.
An E.Max Crown placed on the 1st molar
What did Caring 4 Smiles Do for Thomas?
- Restore the adjacent teeth
- Root canal treatment for the 1st molar
- Place a crown on this tooth to protect it for the long term. A wonderful rebuild.


