Veneers in Auckland

Give your teeth a fresh, vibrant new look with Veneers…

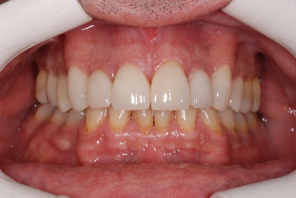
Porcelain Veneers are thin, tooth coloured shells that are custom made and bonded to the front surface of your teeth. This procedure requires only a minimal amount of tooth shaping. They are excellent for treating chipped, discoloured or misshaped front teeth, and ideal for improving shape, length, size and tooth colour.

The benefits of Veneers…

It is important that the patient’s underlying tooth is strong, healthy and not heavily filled. Once placed, they are very strong and will resist most of the forces placed upon them by a normal diet. Also, they do not have to be Hollywood white as they are made of coloured porcelain to match your remaining teeth. View our case study.

We welcome you to call us on (09) 631 5416 or email us at [email protected] to make an appointment to see if Veneers are appropriate for you.

>