Technology In Our Dental Clinic
This is a high technology clinic. We spare no effort or cost to give you the very best at affordable cost.
We draw great delight in being an ultra-modern practice and we constantly re-train and re-engineer ourselves. The great benefit of technology is in the care we provide because there is only one way to get your treatment done, and that is using the most modern processes.
1. Our Online Presence
To build a long-term relationship with you, we reach out through our online presence, so you can see who we are, view our facilities, and in doing so, get to know us better. This process brings you into our modern facilities from the comfort of your home and we delight in presenting you this opportunity. When you come in to see us, we will get to know you better. Do visit.
You can also register with our practice online. This saves time at your first visit. Use our email link for prompt replies.
2. CEREC – Crowns and Inlays in a day using CAD-CAM technology
3. Portability of your Records with us
In the world of today, you may travel across town, or across the globe, and it is most essential that your dental records are prepared and stored in a portable digital format. Our practice recognizes that portability of treatment notes and record keeping is critical to long-term and ongoing care.
We are a digital practice and can export a copy of your records when required.
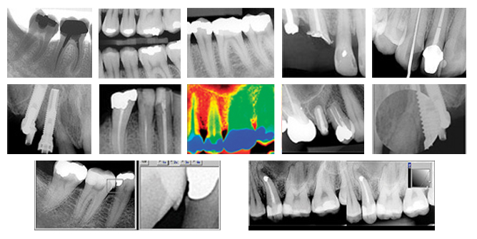
4. Digital X-Rays (intra-oral)

We all have come to recognize that we must reduce our exposure to any form of unwanted radiation. Our practice therefore moved from film based intra-oral x-rays to digital x-rays several years ago. To have an x-ray of your teeth made, a computer sensor is placed in your mouth and it requires only 1/10th of the radiation necessary for film x-rays.
Film based x-rays take several minutes to be chemically developed while digital x-rays are instantly viewed on screen ( above you ) and on the dentist’s screen. You instantly see a massive image which is then explained in clear terms. For our planet, there are no toxic x-ray chemicals poured down the drain at the end of the day. Let us keep it GREEN. Digital x-ray images are stored, compared with historical ones and reviewed at the click of a button, and most of all, they can be emailed to anyone if required, for a second opinion. Modern practices can incorporate digital x-rays into a patient’s records, unlike films.
5. Perioscan – Deep scan under the gum
The Perioscan is a high tech scanner, looking for deep seated bacterial and tartar deposits under the gums. These deposits infect the gums and simple scaling will not remove this.
The Perioscan tip lights up when it comes in contact with bacterial deposits leading the hygienist to remove it at the same time.

6. High Resolution Photography
Most individuals have never seen the insides of their mouth and like the saying goes “A picture is worth a thousand words”. Our high definition digital camera is used to photograph each tooth and then review the photos with you, in order to jointly plan your care and understand costs.
Most patients are wide eyed when they see the photographic evidence of ongoing decay and so want to have it rectified immediately. Over the course of your care with us, we will take lots of photographs because there is no way a dentist can memorize the status of your teeth and recall it at a later date. This record keeping is critical to long term oral care. At every annual check-up, we re-take all digital photographs of your mouth and show you how durable our dentistry is.
7. Laser Diagnosis – Diagnodent Pen

Research has evidence to show that a laser will detect 98% of decay present in the mouth. The laser reads through the tooth and ‘beeps’ when decay is registered. The Diagnodent Pen has a calibrated display and this reads from 0 to 99. A reading above 9 is evidence that the decay process has begun. The higher the number, the louder the cautionary beep. Being a bacterial infection, unless treated, decay will continue to extend through the tooth. Early detection results in lower cost of treatment.
Note: A dentist looking into your mouth is only 50% accurate. Do come in for a 98% accurate laser diagnosis of decay. This is the ‘Gold’ standard of care.
8. HealOzone – Ozone treatment
It is a fact that bacteria remain in dental cavities even after drilling it out. The old method of removing all infected material meant dentists the world over were advised to ‘drill deeper’ under the principle ‘extension for prevention’. At Caring 4 Smiles, treatment of a cavity with Ozone gas under pressure kills off all decay causing bacteria and begins healing the tooth. We therefore do not need to ‘extend the drilling’, and so more of your tooth is retained and saved. At C4S, we use Ozone gas to heal mouth ulcers, cold sores and other painful conditions.
9. Zirconia Crowns & Implants and Novel Biocare Titanium dental implants
In today’s world, patients are looking for titanium and for metal-free options because of rare metal allergies can develop. In recent medical advancement, titanium and Zirconia implants are fitted into jaws to replace teeth. We offer patients both options for dental implants.
Whilst Caring 4 Smiles routinely places Titanium implants, we offer our patients the option of a non-metal Zirconia implant. Do ask for further information. Zirconia crowns are sweeping the world and replacing metal in standard crowns. They are beautiful and long lasting tooth coloured all ceramic restorations, custom milled to fit your tooth precisely.
10. The Orthopantomograph X-ray (the ‘OPG’)
The Orthopantomograph is a single digital x-ray image of your entire Dental and Oral structure, taken from ear to ear. It is a comprehensive over-view of your joints, jaw, sinuses, and teeth. This x-ray establishes a review on and the planning of treatment of gum disease, wisdom teeth, implants and orthodontics. It is an irreplaceable tool to review the jaw and joints for hidden conditions which cannot be picked up in the little intra-oral x-ray views.

