Dental Radiation risks – Patient protection.
Caring 4 Smiles recognizes the current media alert on the heightened risks of intracranial meningioma & cancer when patients are exposed from an early age to annual bite-wing or PANEX ( OPG ) x-rays. In general, any exposure to ionizing radiation heightens this risk and must be balanced against the benefits to a patient.
When this study was conducted, several newer technologies were not yet invented. As these were introduced to the dental profession, Caring 4 Smiles incorporated them with a sole focus on patient protection. We are proud to list herein, our technologies for patient protection. Each is explained for clarity.
A. C4S incorporated digital ( computer driven ) sensors for x-rays in mid-2005. No film has been used in our patient’s mouth since this date. Digital sensors reduce the amount of x-ray exposure patients receive by 90 – 95%.
Digital Sensor X rays for all intra-oral x-rays: C4S incorporated digital ( computer driven ) sensors for x-rays in mid-2005. No film has been used in our patient’s mouth since this date. Digital sensors reduce the amount of x-ray exposure patients receive by 90 – 95%. Therefore, digital dental x-rays are safe.
Film X-rays need 10 times the x-ray dosage per film. Additionally, there are several other disadvantages of using films.
B. We use Lead shield protection for all PANORAMIC ( OPG ) dental x-rays & for kids intra-oral x-rays. C4S always uses a patient protection with a lead gown when an OPG x-ray is taken. Additionally, though intra-oral x-rays have an extremely low dosage, patients below 18 years of age, are covered with a lead gown including a collar to protect the child from scattered x-ray exposure. This is done without exception.
C. Diagnodent Laser to detect all decay – We have a laser in each room, to detect hidden decay. A laser is not an x-ray.
The Laser beam probes the tooth painlessly to detect early decay. The dial shows a score from 00 – 99, indicating the level of decay. Laser detection accuracy is 98% as it picks up early chemical changes in teeth and we treat this minimally at a far lower cost and (mostly) without local anaesthesia. With children, this is priceless because they are fearful of injections and X-rays. X-ray accuracy is 65% as it picks up decay much later in the break-down process.
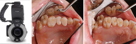
D. High resolution intra-oral photography – a picture is worth a 1000 words. When magnified x 50, surface decay can be seen clearly, there is no need for X-rays.
E. We maintain long-term records to compare the current year to the previous year LASER readings to pick up changes much before an x-ray will detect decay / deterioration. At C4S we maintain long term records of all photos, laser readings and x-rays. We run a comparison evaluation year to year because in the mouth, deterioration is slow and can be missed unless a high resolution photo is available to compare against. A dentist does not have to rely on memory.Good long term records must include high-resolution photographs of all oral structures.
F. Preventive measures to avoid extensive procedures later thereby negating the need for multiple x-rays ( even if taken with a digital sensor ). With our technologies, we pick up and treat disease without the need for x-rays or more invasive procedures. When treated early, there is less financial and emotional pain. This is exactly how we treat our patients, as family.
In conclusion, Caring 4 Smiles uses higher & current technologies to minimize risk to our patients. Our constant effort ensures that the purest form of patient protection is in place. In the busy run of the day, most of our background work goes unexplained and unnoticed because patients are not aware of what we do to provide exceptional, safe and lower cost care.
If you would like to know more, please ask any of our Team. We will be delighted to showcase our Practice technologies, built to protect you and your family.
We want you to choose us for your dental care. Call 09-6315416 for an appointment or book online.




