Every day, our lovely Hygienist meets patients who have their hygiene done every 6 months and yet, their gums become inflamed and bleed. They feel upset and disappointed, the real problem being that they have never been re-trained to brush and floss correctly. It is not enough to ask a patient, “Are you brushing and flossing?”
Tooth-brushing is just like driving. Most patients have never been taught how to brush & floss correctly. They merely scrub every morning and wonder why their gums still bleed and plaque is all over the mouth.
Our lovely Hygienist has stopped scolding patients because she gets right into teaching patients effective brushing and flossing. Without monitoring and retraining, how would they know better. To try to do better, some patients have purchased an electric toothbrush, the more expensive the better. If there is no training on the use of a manual or electric toothbrush, then the results will be poor.
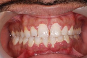
Garry (below), was one such patient who decided to visit our practice for a new experience. His only complaint was that he was attending the hygienist every 6 months but his gums and teeth were no better. He was getting told off on a regular basis. Our Hygienist listened patiently and then took him through our Hygiene treatment with tooth-brush re-training. Hygiene treatment is the corner stone of great dentistry. It empowers a patient to care for their oral investment for the rest of their lives.
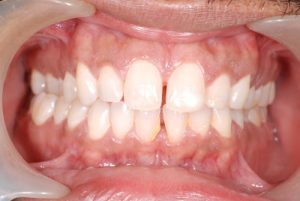
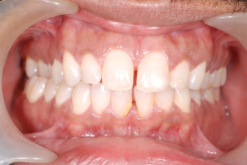
Within a few weeks of our training, Garry is delighted with his progress. His gums do not bleed and he is well in control of his gums and teeth. He is now so meticulous that the tiniest plaque causes him to become alert. Yes, effective tooth-brushing needs training on How to Brush & Floss because this is where the battle for bacterial control really happens. We can also train you on the technique of using a manual and electric toothbrush. Please visit us.
If you would like a wonderful experience in Oral Hygiene and great Dentistry, contact Caring 4 Smiles on 09-6315416 or email us at [email protected].



