In need of wisdom teeth removal in the Auckland or Epsom area? Learn more about the costs of wisdom tooth extraction below.
At Caring 4 Smiles, we offer patients the opportunity to have complex oral surgery done for a variety of dental issues. The usual telephone question asked of our front desk is “What is the cost of Wisdom teeth removal?”
Why Do Wisdom Teeth Need to Be Removed?
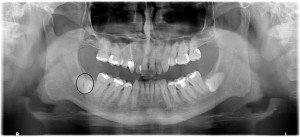
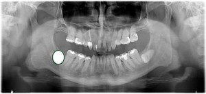
Wisdom teeth (there are 4) become very inflamed and painful when the patient is about 16 years and the jaw has insufficient space for the teeth to come through. Sometimes, these teeth try to force through in the wrong direction, called “impacted wisdom teeth”. This surgery needs great skill and experience and at Caring 4 Smiles, we perform this surgical procedure almost every day. To plan this difficult surgical procedure a Panoramic X-ray ($135) is the minimum for an accurate diagnosis, and sometimes in complex cases (like below), a 3D Cone Beam CT X-Ray ($300) is necessary.
What are Wisdom Teeth?
Wisdom teeth (called the third molar) are usually large and occupy significant space behind the second molar. In this position, they sit just above a large nerve bundle in the lower jaw. Therefore, when planning the surgery, the dentist will determine if the large empty space (after the tooth is removed) needs to be filled with artificial bone. The bone graft protects the nerve and forms a solid bed on which the gums can be supported. If not supported, the gums hang over a dead space and fall in. This void now fills up with food and debris, causing nerve damage, nerve pain, dry socket and affects the stability of the second molar which we want to protect.
At Caring 4 Smiles, lower wisdom teeth removal costs $650 upwards (per tooth) and the upper wisdom teeth cost $350 upwards – based on the grades of surgical difficulty.
If bone grafting is required, there is this added cost to the fee for surgery and can range from $600 – $1200 per location grafted and quantity of bone used.
Please see the attached Panoramic X-Rays of one of our patients. This was a very difficult surgery to extract the 2 lower wisdom teeth. Both sites needed large volumes of bone grafting. Had bone grafting not been done, the patient would have had significant post-operative complications due to the unfilled dead space which may or may not have filled over time.
See another Wisdom Teeth case study.
Get Started With Caring 4 Smiles
At Caring 4 Smiles, we endeavor to give patients an accurate cost estimate so that we build great friendships and trust. Contact us today if you have a wisdom tooth giving you trouble or you are 16 years of age and want to be screened for this hidden potential problem, call us on 09-631 5416 or email for an appointment: [email protected]



