The phone at our dental practice in Epsom rings incessantly every day and the usual question asked of our practice manager is “What is the Cost of White Fillings for Teeth?” This is a good question because everyone is entitled to have a fair idea of costs and we try to be as helpful and upfront about fees as possible.
In fairness to us as dentists, we need to quote a fair fee for the actual treatment that you require. Most dental practices find answering this “cost of a white filling” question very difficult. A standard answer given is “Come in for a dental examination and x-ray and we can quote you with an exact idea of what you need”. This puts patients off and they could feel the dental practice is being cagey.
I am reminded of the often-quoted story about a punter who called up the Waldorf Astoria and asked about the price of their rooms. Quite nonchalantly, the manager stated ” Sir, if you have to ask, you cannot afford it “, and put the phone down. This may be folklore and untrue, but most patients get the same feeling when they call a dental practice.
Why Work With Caring 4 Smiles?
Patients feel awkward when they need dental fillings and need to know costs. At Caring 4 Smiles we are very forthcoming on fees and costs over the telephone and we have created this article to help you understand what we face every day and how difficult it is for us to answer accurately, “How much do white fillings cost?”
Dental decay is a bacterial infection, so ALL our white fillings are placed after the tooth is treated with OZONE gas ( at no additional charge ). This gas sterilizes the cavity, ensuring excellent long term results. We also photograph all our work to keep a long term track of your mouth and assure you of the value of being under our care.
White Filling Tooth Costs
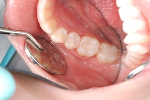
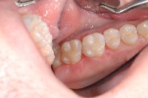
The before & after photos below are of one of our recent patients needing 4 different size fillings on her lower molars. This photograph aptly illustrates the differences in the size of the cavities and our various fees for each.
Filling 1: Preventive fillings: $175 – $220
Filling 2: Small fillings $255 – $280
Filling 3: Medium fillings $305 – $390
Filling 4: Large or complex fillings $390 – $440
Sometimes, a patient will come in with large cavities! We get a real surprise when we look in and it definitely is hard for us to anticipate how much time it will take to fix and what the exact costs will be.
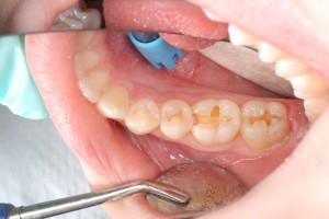
Filling 5: (See below photo ) – Multiple cavities in the same tooth and each filled individually – $380
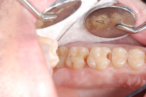
Filling 6: (See photo below) – Massive fillings in multiple adjacent teeth – These teeth need to be strengthened with a core material $250 each, and then soon after, have a ceramic inlay or ceramic crown placed on each tooth at $1750 each.
Get Started With Caring 4 Smiles
At Caring 4 Smiles, we look after our patients with the sensitivity of caring for our family. We are a “Pain Free Dental Clinic” and that includes financial pain. We do try very hard to bring down the cost of dental treatment. Your family and you will be very comfortable at our dental clinic.
To visit us just for a chat or to view our high-tech facilities, please call us on 09-631 5416 or email: [email protected]. You can also contact us today on our website or take a virtual tour of our dental clinic.







