[et_pb_section bb_built=”1″][et_pb_row][et_pb_column type=”4_4″][et_pb_text _builder_version=”3.0.90″ background_layout=”light”]
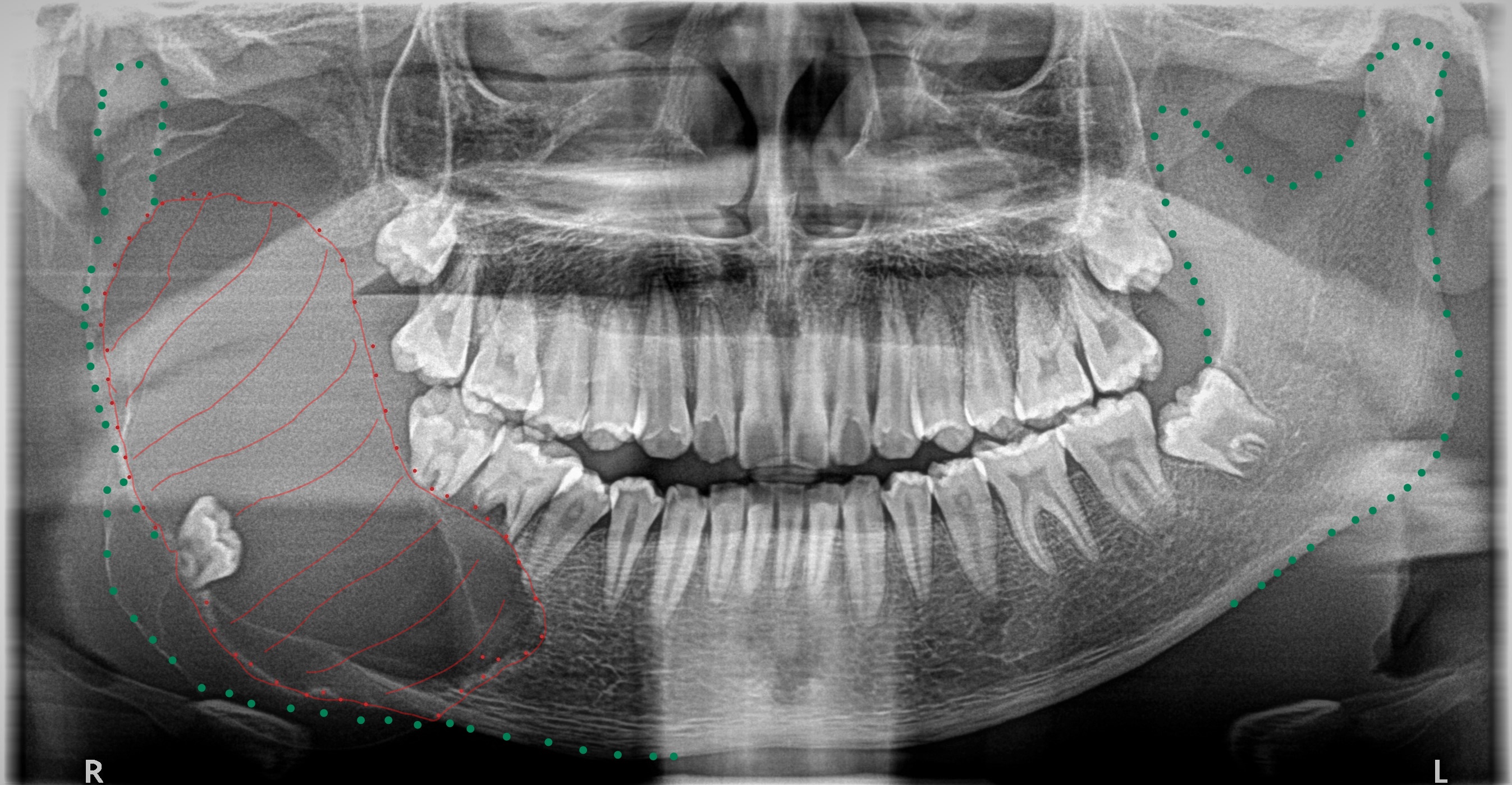
A few days ago, as we were about to close, a 14-year-old boy came in with what looked like a tennis ball in his right cheek. He was not in too much pain, but was very conscious of a large swelling and so wore a hoodie to hide it. I suspected a dental abscess had gone far down the road, but nothing prepared me for what a Panoramic x-ray scan would reveal.
My nurse was in disbelief as she ran into my room to come and have a look at what she thought was a bad x-ray. Right in front of me was the largest tumour I had seen relating to a wisdom tooth. The tumour had grown and pushed the wisdom tooth to the bottom of the jaw and in doing so, had destroyed most of the right jaw. We are looking at a 14-year-old. He will now require massive surgery and jaw reconstruction, if it is possible. Or face permanent disfigurement.
I have marked out the tumour in red and the jaw outline in green, to spread awareness that we must review every patient with a Panoramic x-ray by age 12. Thereafter, every 5 years, to be prudent.

For a wisdom tooth consultation, evaluation, and oral surgery, please call us. Caring 4 Smiles Dental Group, Epsom on 09-631 5416 or book online.
[/et_pb_text][/et_pb_column][/et_pb_row][/et_pb_section]

