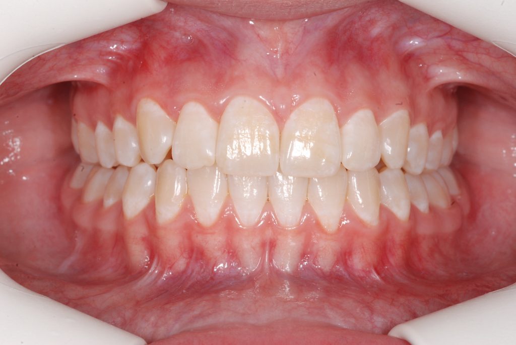
Invisalign Clear Aligners are a wonderful way to correct crooked teeth without telling the whole world that you are doing so. No one loves stainless steel ‘train tracks’ across their mouths, because there is a better way to have straight teeth. In most cases, patients don’t know that they have a CLEAR alternative. I see many patients who could have chosen Invisalign to straighten their teeth because stainless steel braces causes soreness, bleeding, ulcers and pain from the sharp wires – lasting over 18 – 24 months. None of this occurs with Invisalign clear aligners.
The biggest advantage of Invisalign is that you can take the clear aligners off to brush and floss your teeth every day of your treatment. This is not possible with the train tracks across your teeth and that’s how patients develop significant decay and gum problems. With Invisalign, the hygienist can do a wonderful clean and polish, eliminating the largest cost to you after the stainless steel braces are removed. Decayed teeth needing FILLINGS, FILLINGS FILLINGS – is the biggest concern after train track braces. The braces trap plaque onto your teeth.
If you would want to have a great smile, a wonderful lifestyle while getting your teeth straightened and NO FILLINGS at the end of treatment, come in for a FREE CONSULTATION to see if Invisalign can work for you. You have a clear choice.
We do confirm that in some severe crowding cases where there are embedded teeth, Invisalign is not the best choice, but in the vast majority of patients a great smile can be achieved with Invisalign. So, please come in for a FREE consultation anytime.
PS: If you are on a date, you can take the clear aligners out. Train tracks come with you on your date.
Caring 4 Smiles offers a wide range of options to give you that great smile. So,Let your Smile truly reflect your Lifestyle.
Call : 09-631 5416 or email [email protected] to book a FREE Invisalign Consultation.


