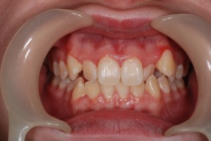
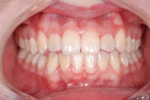
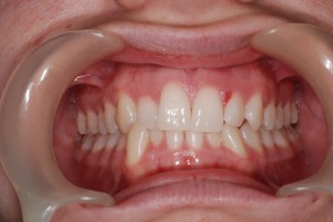
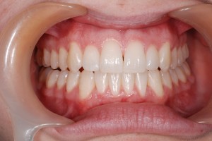
Case 1
Invisalign creates beautiful Smiles without a doubt. In addition, there is the added benefit of enjoying a lifestyle while “under treatment”. Who would want to be attending a school ball with stainless steel train-tracks in the mouth? As an adult, meetings and face to face conversations can get side tracked if there is food stuck on the braces or soreness in the mouth.
Invisalign is a clear alternative to ‘Train track” braces.
To enjoy getting a great smile, please contact Caring 4 Smiles on 09-631 5416 or email us : [email protected]





