Yes, it matters if its black or white.
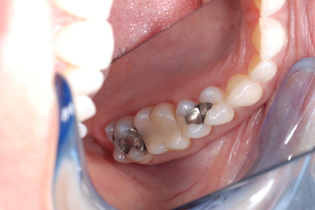
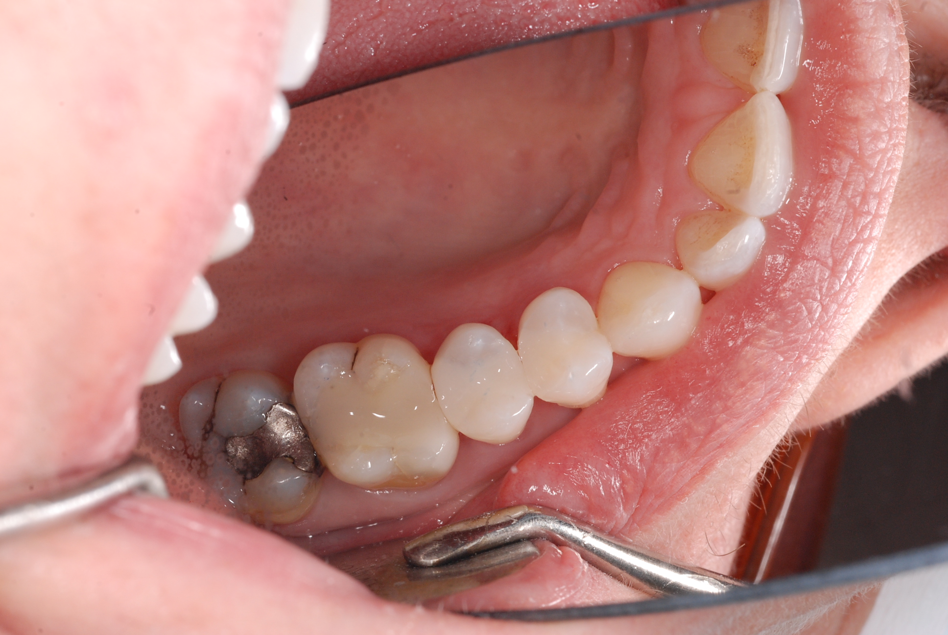
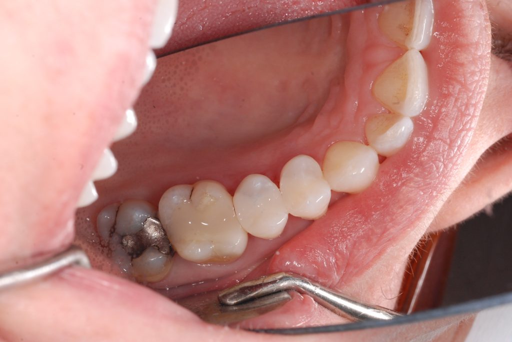
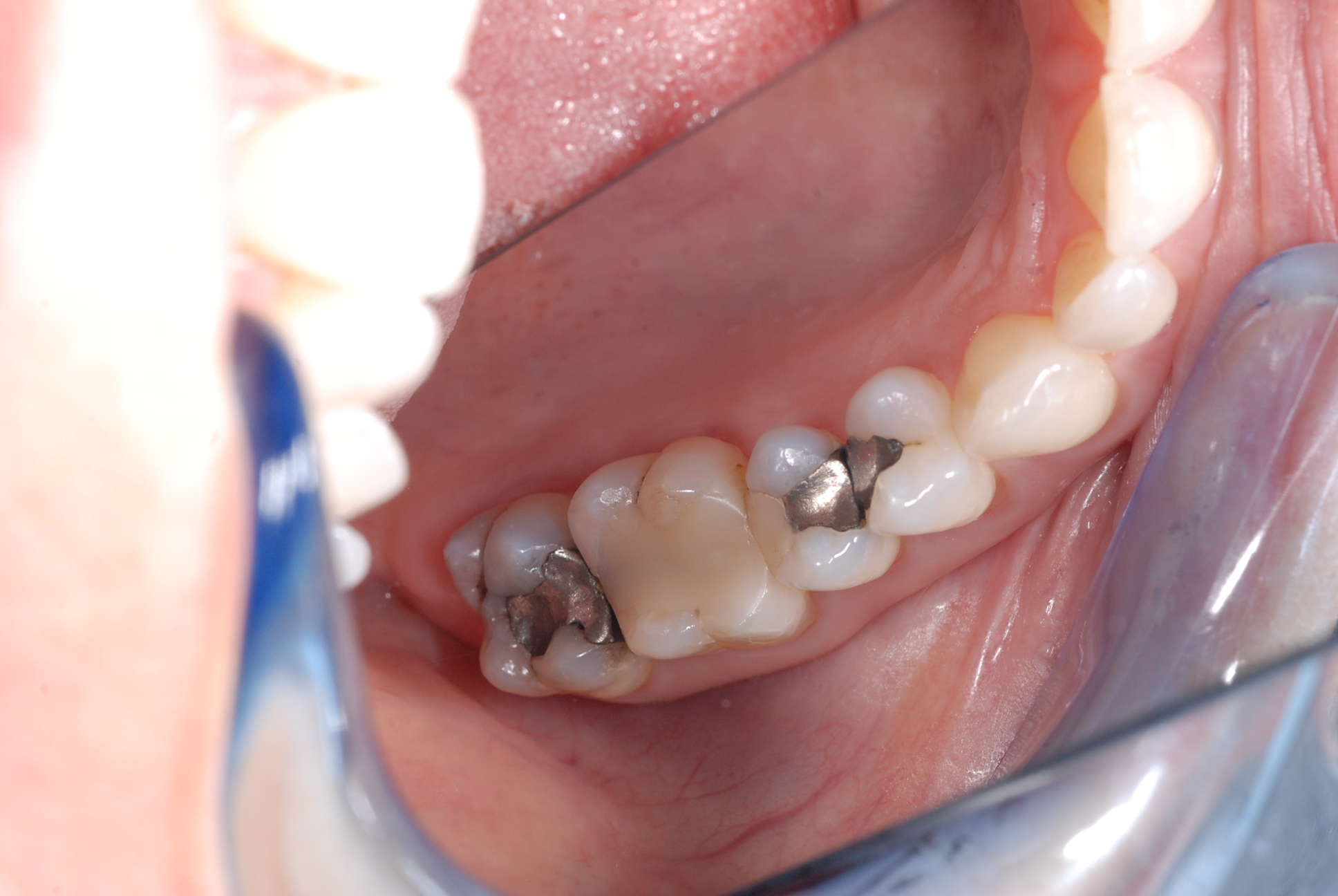
Silver amalgam ( dental amalgam ) has been filled into patient’s teeth for a hundred years, and no one seems to have worried that these fillings corrode like any metal in a moist and tough environment. Corrosion products cause ‘rust like material’ to be absorbed into the inner structures of the tooth and if left untreated, cracks develop in the base of the cavity causing pain and sensitivity. ‘Cracked tooth syndrome’ is a vexing problem of cracked teeth. A beautiful smile begins to age, look gray and lifeless.
At Caring 4 Smiles we brighten patient’s smiles and reduce the risk of cracked teeth by removing amalgam fillings and replacing them with beautiful white bonded composite fillings. Larger fillings are replaced with porcelain crowns or inlays made using the latest CEREC CAD-CAM technology. We fit ‘crowns in a day’ with CEREC technology. It’s truly amazing.
Our dental practice offers patients the very best in modern dental technology, from INVISALIGN to LASERS. We create beauty because when we smile, we show our personality to the world. Success is reflected in our smiles.
Yes, it matters if its black or white.
Welcome to Caring 4 Smiles in Epsom, Auckland.



