Like every advance in technology, the initial benefits seem small. This is true with every development, whether it is the Internet, laptops, mobile telephones or electric cars. Invisalign treatment with clear aligners to correct crooked teeth also went through the development phase where in the initial years – 10 years ago – the results were less than ideal. However, with the advancement of super-computers and 3D printing and imaging, Invisalign treatment has become extremely accurate and predictable. Digital dentistry has disrupted conventional dental treatment and planning and forecasting outcomes before treatment has started, makes the patient very satisfied that they can see the final result before starting out.
Caring 4 Smiles has offered Invisalign orthodontic treatment for the past 10 years and we have seen how the treatment has developed into an amazing option. Would we use Invisalign for our children and family members? Of Course, and this gives us the enthusiasm to offer Invisalign to patients who walk into our practice. We have hundreds of delighted patients, specially younger adults, working adults as well as older patients – all of whom do not want to be conspicuous by going for stainless steel braces. Young adults going on a date would hardly feel relaxed, with stainless steel braces. Additionally, adults at work would feel awkward with braces, more so at meal times where food gets stuck on the wires.
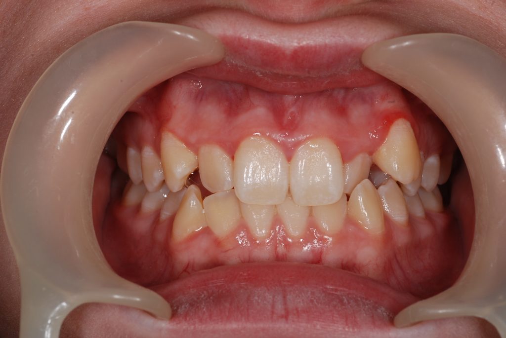
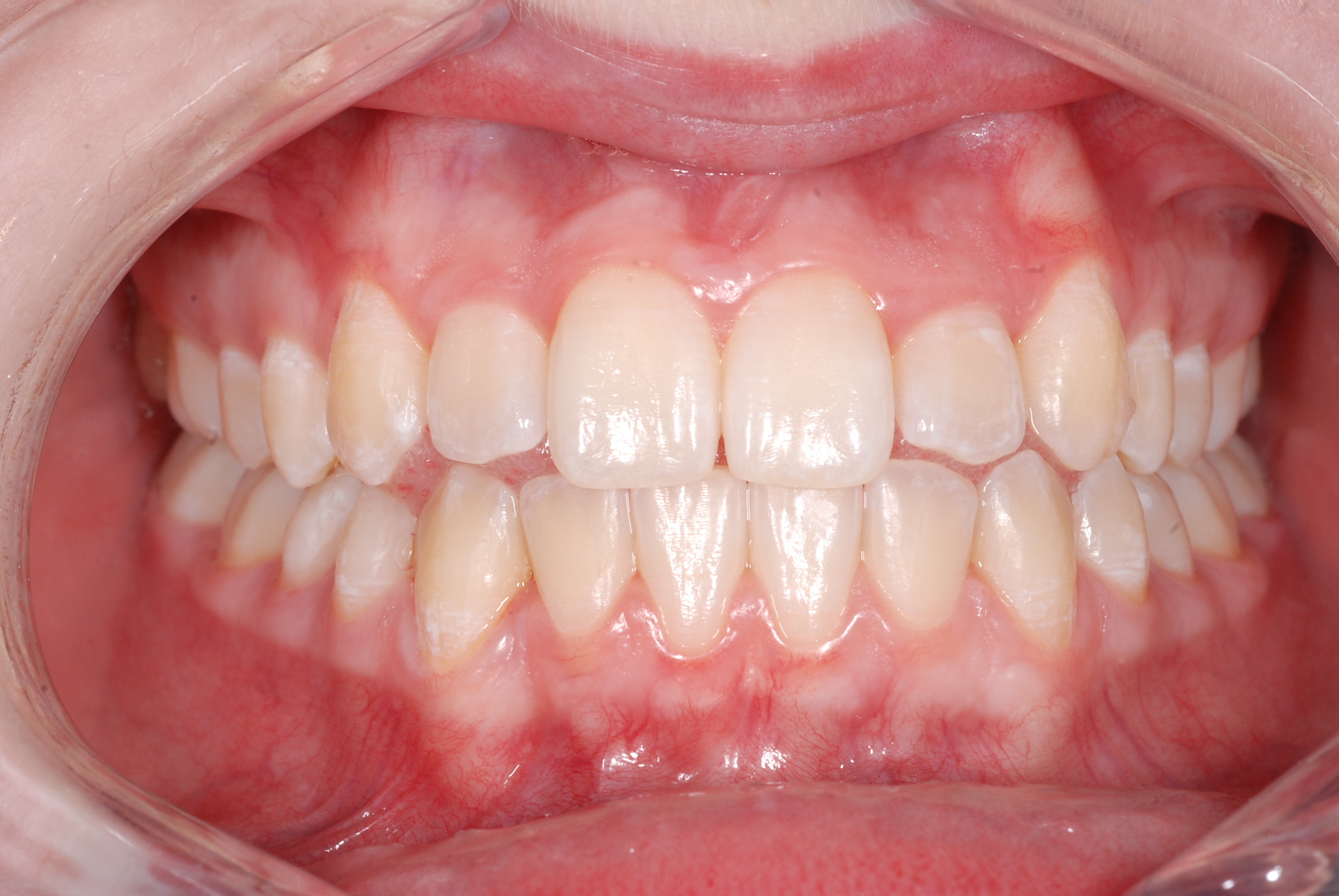
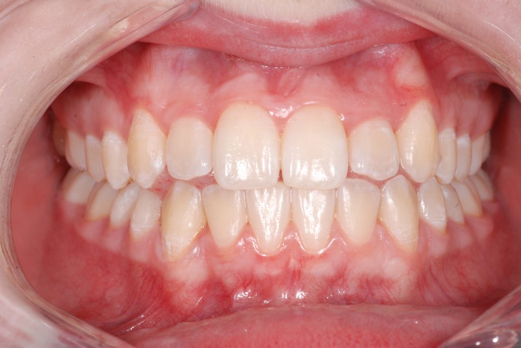
Casey is one of our patients. She came in to Caring 4 Smiles in Epsom to get a great smile. She hardly wanted to wear a stainless steel track for the 2 years it could take. INVISALIGN was our option to give her the smile she wanted. We also offered that she whiten her teeth, using the same aligners to hold the whitening gel in the mouth. She has a stunning smile and very white teeth in the process.
Invisalign is a clear alternative to wearing conventional wire braces, so please visit Caring 4 Smiles to get a great smile for yourself. Call 09-6315416 for a free consultation.



